Полнофункциональная система визуализации для ветеринарии
Система УЗИ с цветным допплером для ветеринарии
Система УЗИ с цветным допплером для ветеринарии
Для всех животных: больших и маленьких. Животные — самые близкие и надежные друзья человека. Компания SonoScape всегда занималась разработкой специализированных диагностических решений визуализации для ветеринарии. SonoScape представляет новую серию ProPet — профессиональные ветеринарные системы для широкого спектра видов животных самого разного размера. Это новый этап в ультразвуковой визуализации. ProPet 70 — это надежное ультразвуковое решение для ветеринаров с удобным интерфейсом, которое предоставляет полную клиническую картину и информативную оценку для широкого спектра видов животных. Эта система сочетает в себе новейшее интеллектуальное программное обеспечение для ветеринарии и технологию монокристаллического датчика, что позволяет получать изображения исключительного качества и определять даже малейшие патологии у любых животных: от огромных догов до крошечных экзотов, тем самым значительно улучшая клинические результаты, которые превосходят все ожидания.
ProPet 70 имеет ЖК-дисплей 23,8" Full HD (опция), который обеспечивает превосходное контрастное разрешение, четкость изображения и яркие цвета в любых условиях освещения.
Сенсорный экран с диагональю 13,3", антибликовым покрытием, защитой от отпечатков пальцев и возможностью поворота на 15 градусов.
Защищает от влаги и шерсти животных.
В случае отсутствия источника питания аккумулятор обеспечивает непрерывное сканирование в течение 2 часов без подзарядки.
Экономия драгоценного времени и энергии врача за счет избавления от необходимости часто менять датчики.
Регулируемая по высоте панель управления имеет удобную конструкцию консоли, которая обеспечивает простое взаимодействие при проведении различных ветеринарных обследований.
Благодаря широкому диапазону движения полностью шарнирный кронштейн монитора легко адаптируется под ваши нужды.
Кошки, собаки малого и среднего размера и мелкие экзотические животные
Усовершенствованная технология визуализации иглы показывает местоположение иглы в теле животного без искажений при выполнении таких вмешательств, как блокада нервов и биопсия тканей.
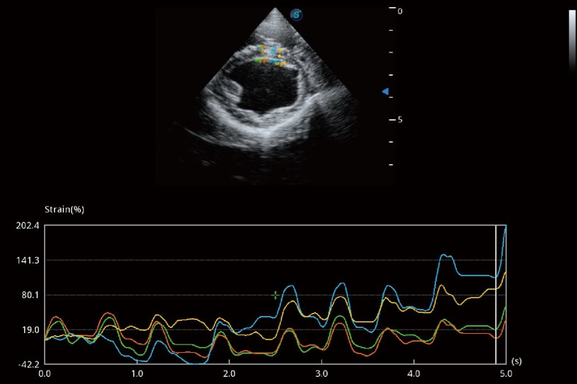
Точное обнаружение движения стенки левого желудочка с глобальным отслеживанием спекл-структур в 2D обеспечивает детальный количественный анализ миокарда, включая деформацию и ее степень, смещение и его скорость и др.
Эффективно отличает поток крови от наложенного движения тканей и отображает гемодинамику с более высокой чувствительностью и пространственным разрешением.
Простой шаблон для врачей, позволяющий делать несколько динамических изображений в состоянии покоя и после нагрузки, а затем выполнять их сравнение. Для дальнейшей оценки жизнеспособности сердечной мышцы животного предоставляются профессиональная оценка и отчетность по движению стенки в режиме "бычий глаз".
Выполняет оценку жесткости тканей в реальном времени, отображаемую в виде цветной карты, для обнаружения потенциальных патологий в здоровых тканях.
Автоматический расчет фракции выброса на основе трассировки стенки левого желудочка и правила Симпсона экономит время и силы по сравнению с ручным измерением.
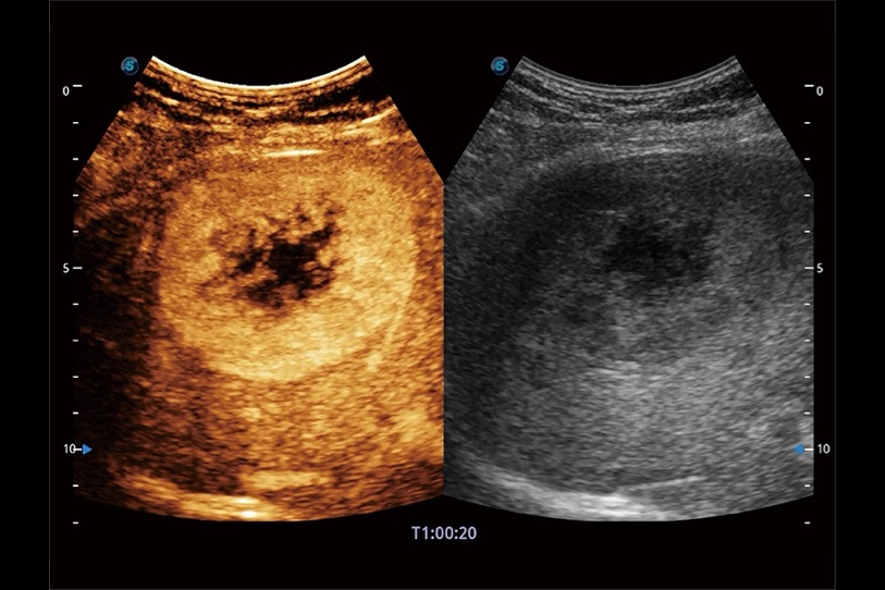
Нелинейное ультразвуковое исследование с контрастом в полной мере использует гармонические и основные сигналы для получения более четкого изображения кровотока, который так сложно визуализировать. Обеспечивает параметрическое представление с цветовой кодировкой, указывающее время поступления контрастных веществ в разных фазах перфузии для лучшей дифференциации тканей.
Подавляет спекл-шумы, улучшает гомогенность изображения и непрерывность границ, обеспечивая достоверное представление деталей и точную визуализацию поражений.
Крупные собаки, лошади, сельскохозяйственные животные и крупные экзотические животные
Использует несколько линий обзора для получения оптимального контрастного разрешения, уменьшения спекл-шумов и обнаружения границ, что идеально подходит для поверхностной визуализации с высокой четкостью и непрерывностью структур.
Панорамная визуализация в реальном времени в режиме 2D и цветного/энергетического допплера расширяет поле обзора, чтобы можно было легко отследить и исправить любые ошибки, не прерывая сканирование.
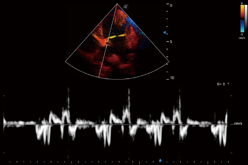
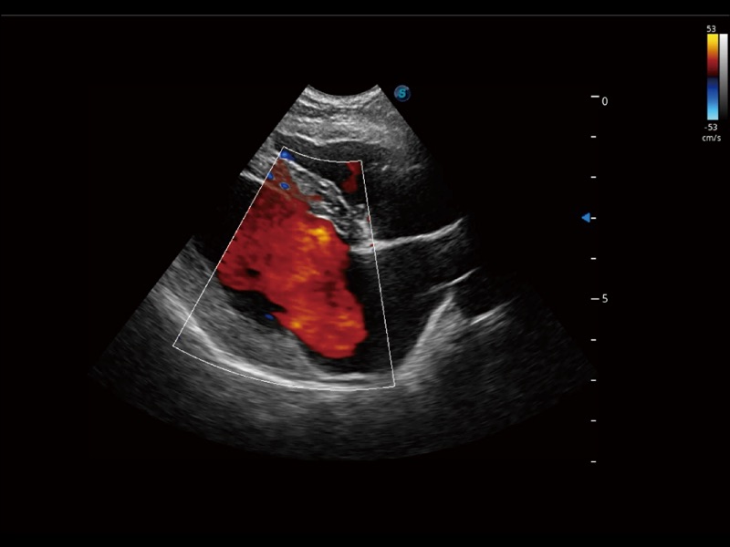
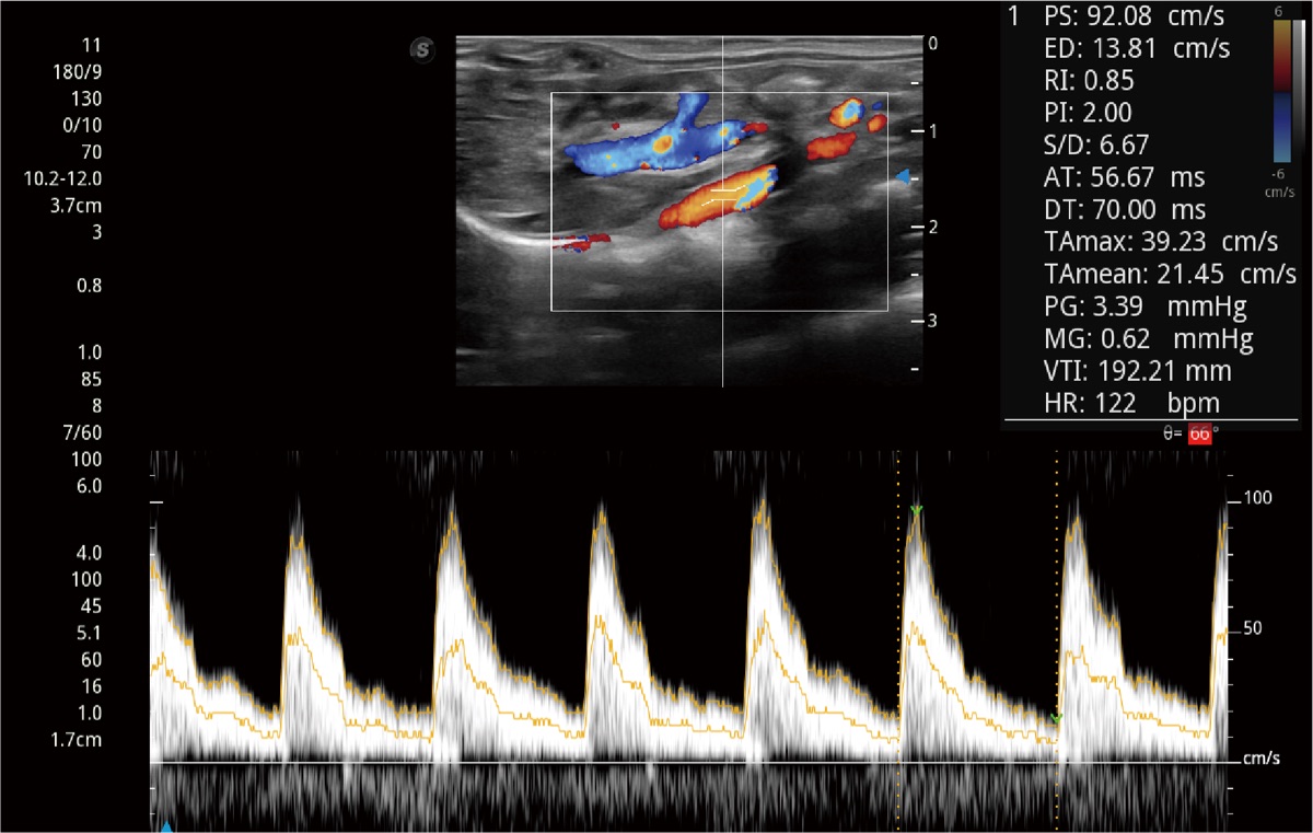
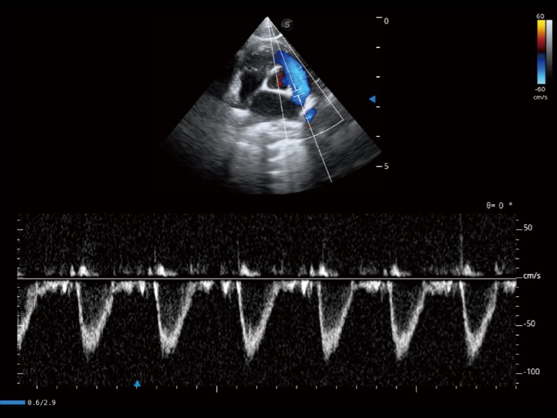
Обеспечивает динамическую и яркую допплерографию с высокой чувствительностью, предоставляя реалистичные доказательства замедления кровотока.
Трехмерный цветной допплер улучшает определение границ стенок сосудов, помогая врачам более точно визуализировать кровоток.
Эта новая технология 2D-оптимизации повышает контрастность и улучшает общую структуру изображения, а также обеспечивает более высокую детализацию.
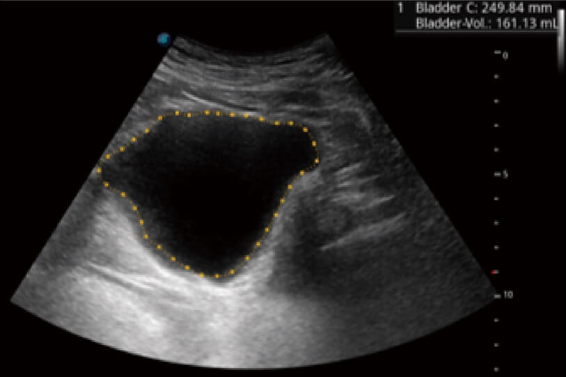
Функция Auto Bladder выполняет исследование стенки мочевого пузыря и измерение его объема с помощью одной клавиши, позволяя получить более точный контур и результаты, которые не зависят от формы и размера мочевого пузыря.
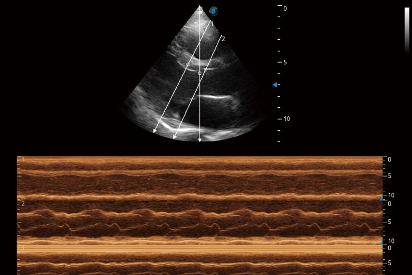
Собирает данные с трех линий образцов одновременно для выполнения детальной оценки движения стенки. Значительно улучшает воспроизводимость и точность измерения левого желудочка.
Использует доплеровский сдвиг частоты миокарда для количественной оценки движения ткани миокарда, причем красный и синий отражают движение стенки в разных направлениях.
Оборудование ProPet гарантирует высокий уровень профессионализма во всех областях ветеринарии. Специализированное ПО для ветеринаров имеет удобный интерфейс и помогает выполнять точную диагностику максимально быстро.
Удобные списки позволяют легко выбирать виды животных, датчики, а также предустановленные комбинации одним касанием.
Разработан специально для ветеринарии и имеет поля для имени животного, вида, породы и статуса кастрации.
Ветеринары могут выбирать вид животного и соответствующий графический значок обследования в настройках системы для конкретных ветеринарных задач.
Охватывают полный спектр областей применения, таких как репродуктивная система, кардиология, опорно-двигательный аппарат и др., предоставляя необходимые инструменты для нужд пользователя, включая формулы для животных Cornell и BSA.
Измерения
Отчеты
Поддерживает более 200 ветеринарных меток тела и более 120 ветеринарных аннотаций, включая мелких животных, лошадей, сельскохозяйственных и лабораторных животных, а также более 20 видов экзотических животных.
ветеринарных меток тела
ветеринарных аннотаций
видов
Работа ветеринаров может быть очень сложной из-за ежедневных выездов. SonoScape стремится максимально все предусмотреть, чтобы они могли сосредоточиться на своей работе. Удобство пользователя всегда было и всегда будет нашим приоритетом.
Интеллектуальные алгоритмы обеспечивают простую оптимизацию 2D-, цветных и допплеровских изображений одним касанием в режиме реального времени.
Выполняет автоматическое отслеживание в режимах PW/CW, что помогает врачам просто и удобно проводить измерения.
ProPet 70 сочетает в себе новейшее интеллектуальное программное обеспечение и технологию монокристаллического датчика, что позволяет получать изображения исключительного качества и определять даже малейшие патологии у любых животных: от огромных догов до крошечных экзотов, тем самым значительно улучшая клинические результаты.






