ProPet 60
Ważne są „wszystkie stworzenia duże i małe”. Zwierzęta uważa się za przyjaciół i najbardziej zaufanych pomocników człowieka. Firma SonoScape nie ustaje w wysiłkach zmierzających do rozszerzania swojej oferty rozwiązań w zakresie obrazowanie diagnostycznego przeznaczonego na potrzeby weterynarii. Wkraczając w nową erę obrazowania ultrasonograficznego, firma SonoScape prezentuje zupełnie nową serię ProPet obejmującą specjalistyczne rozwiązania do obrazowania weterynaryjnego różnorodnych gatunków zwierząt – od małych zwierząt domowych po duże gatunki.
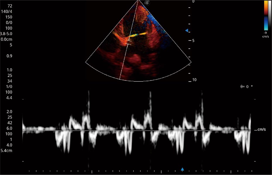
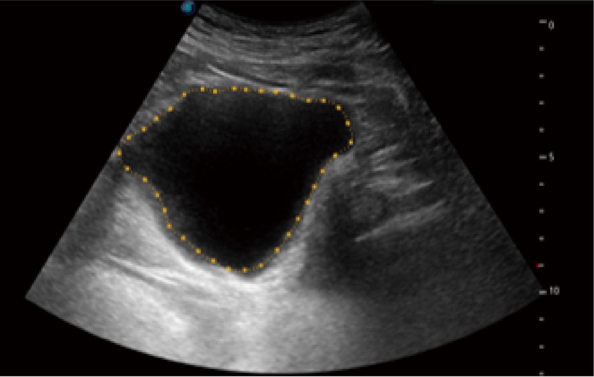
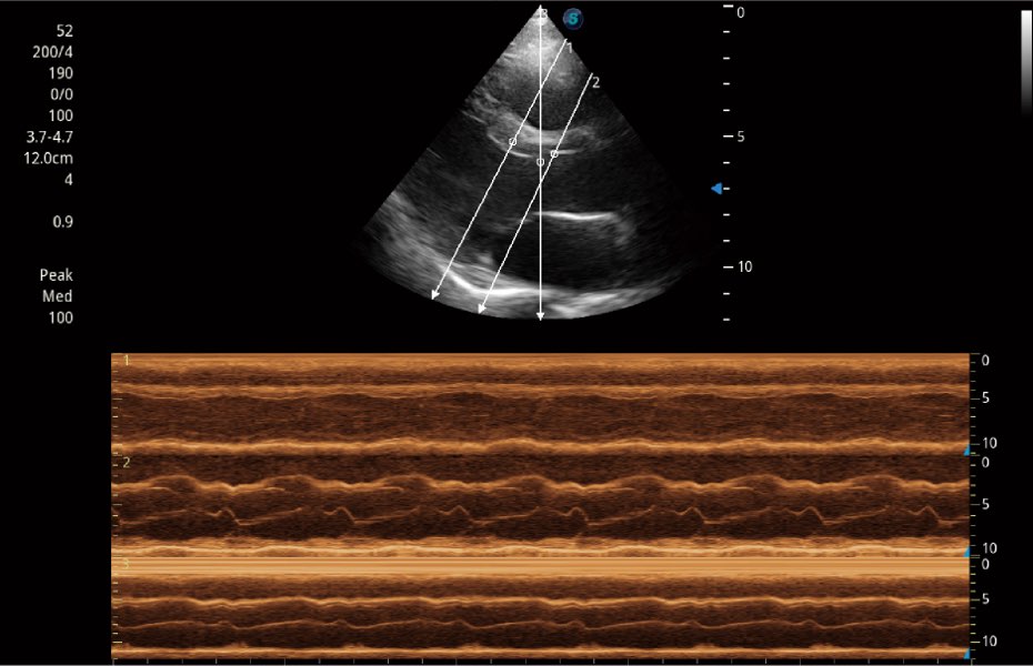
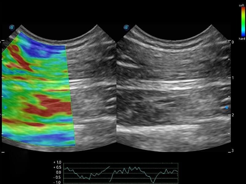
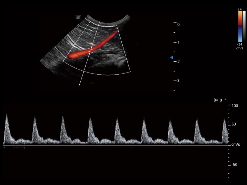
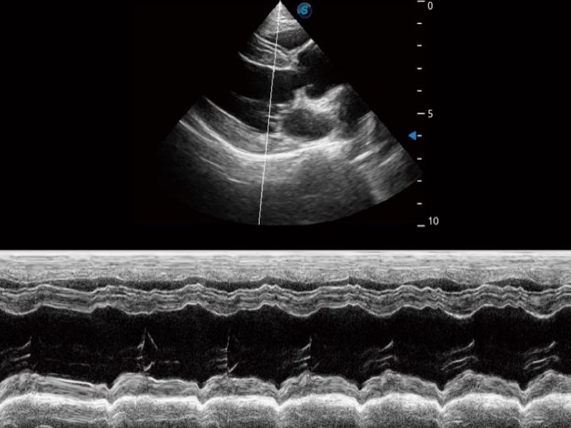
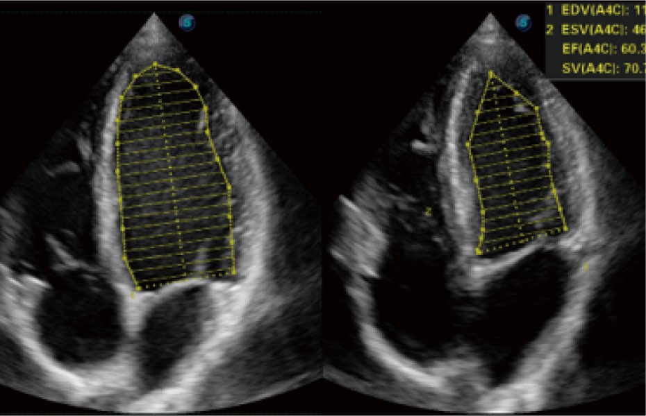
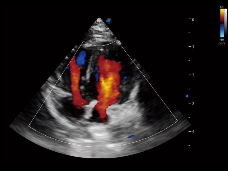
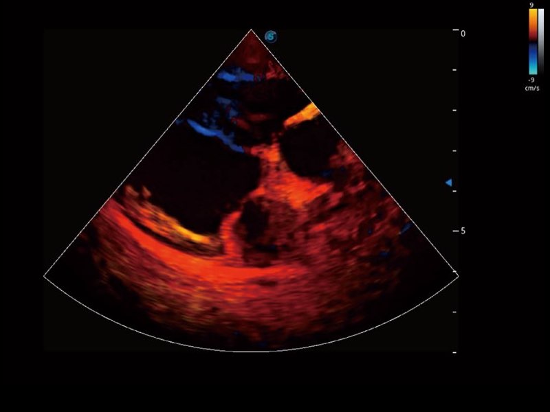
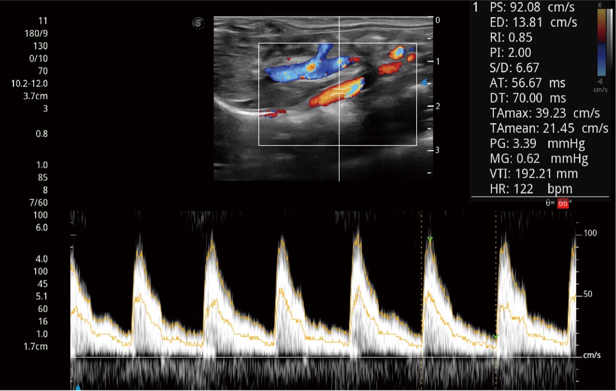
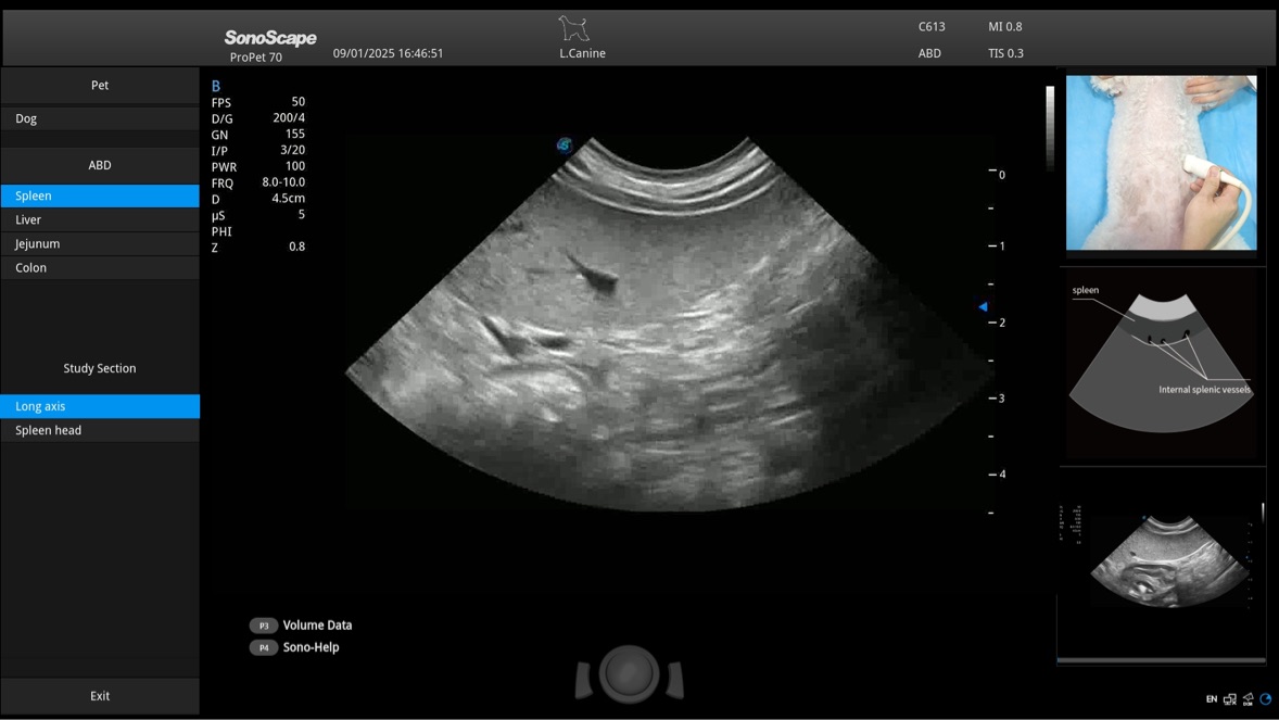
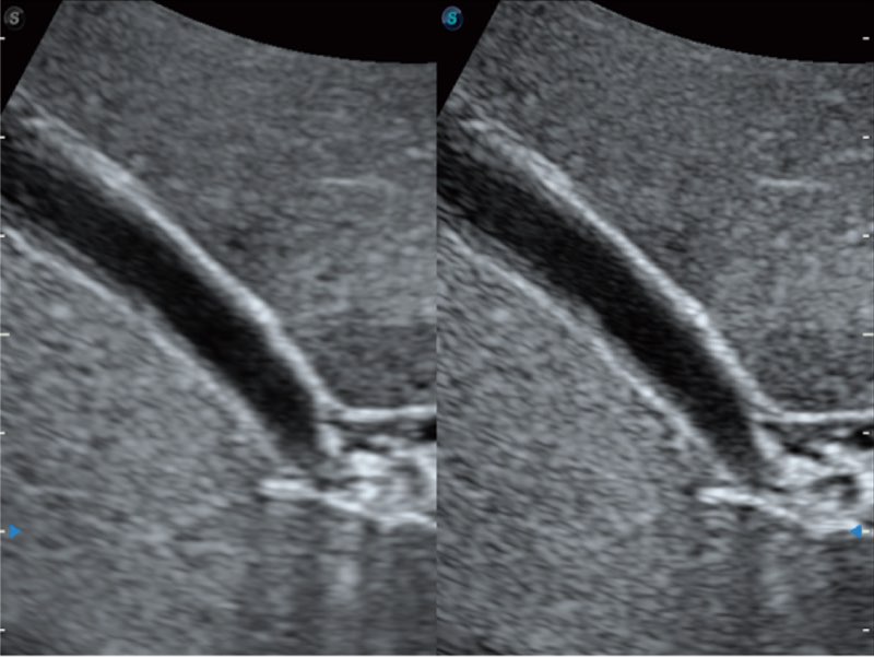
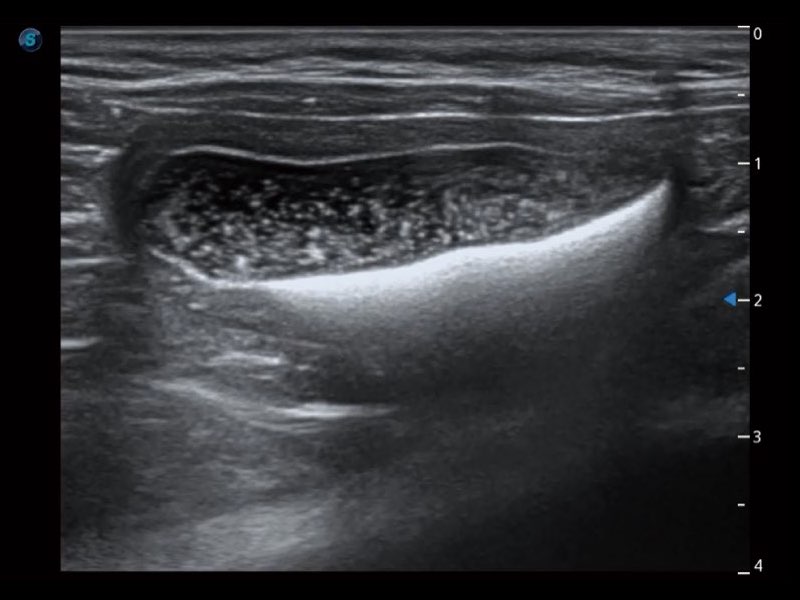
Przy pracach nad aparatem ProPet 60 uwzględniono najważniejsze preferencje i potrzeby weterynarzy, oferując finalnie przystępne cenowo i odpowiednio wyważone połączenie znakomitej precyzji klinicznej, zwiększonej wydajności i przemyślanego przebiegu pracy, niezastąpione w codziennej praktyce weterynaryjnej. Dzięki dostępowi do pełnej gamy głowic HD rozwiązanie to spełnia wszystkie potrzeby w zakresie obrazowania, umożliwiając wykonywanie badań jamy brzusznej, małych narządów, ortopedycznych, badań podczas rozrodu, a nawet badań serca i klatki piersiowej, a to wszystko przy doskonałym stosunku jakości do ceny.
