Wysoka funkcjonalność zwiększająca trafność rozpoznań
System ultrasonograficzny z Dopplerem kolorowym do zastosowań weterynaryjnych
System ultrasonograficzny z Dopplerem kolorowym do zastosowań weterynaryjnych
Ważne są „wszystkie stworzenia duże i małe”. Zwierzęta uważa się za przyjaciół i najbardziej zaufanych pomocników człowieka. Firma SonoScape nie ustaje w wysiłkach zmierzających do rozszerzania swojej oferty rozwiązań w zakresie obrazowanie diagnostycznego przeznaczonego na potrzeby weterynarii. Wkraczając w nową erę obrazowania ultrasonograficznego, firma SonoScape prezentuje zupełnie nową serię ProPet obejmującą specjalistyczne rozwiązania do obrazowania weterynaryjnego różnorodnych gatunków zwierząt – od małych zwierząt domowych po duże gatunki. ProPet 80 to przeznaczony do zastosowań weterynaryjnych system ultrasonograficzny klasy premium, który wyposażono w najnowocześniejsze technologie obrazowania ultrasonograficznego w celu szybkiego dostarczania informacji diagnostycznych, a także zaawansowane funkcje i ergonomiczne rozwiązania w celu wsparcia lekarzy weterynarii w codziennej pracy z rosnącą liczbą trudnych przypadków i zaspokojenia zróżnicowanych potrzeb praktyk weterynaryjnych. Wybór tego systemu jest wysoce zalecany, gdy w klinice potrzebne jest rozwiązanie stacjonarne, umożliwiające przeprowadzenie nowoczesnych badań ultrasonograficznych.
Pewność diagnostyczna wymaga sprzętu o wysokiej funkcjonalności, zapewniającego zaawansowane narzędzia. Aparaty z serii ProPet wyposażono w zaawansowane narzędzia do badań jamy brzusznej i struktur powierzchownych, co zapewnia lekarzom weterynarii niespotykane dotąd wsparcie w codziennej pracy klinicznej.
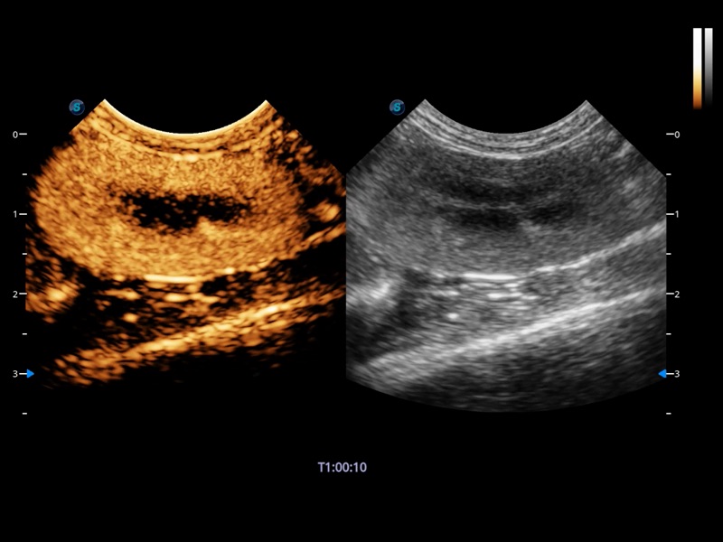
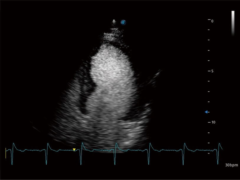
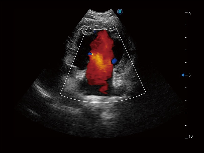
Aparaty z serii ProPet wyposażono w pełną gamę głowic sektorowych typu Phased Array firmy SonoScape (S1-5, 7P-A, 8P1), zaawansowaną technologię przetwarzania obrazu oraz najnowocześniejsze narzędzia do badań serca, co umożliwia weterynarzom przeprowadzanie kompleksowej oceny czynności układu krążenia i mięśnia sercowego.
Obrazowanie w trybie Dopplera tkankowego (TDI) wykorzystuje efekt Dopplera, polegający na przesunięciu częstotliwości, do oceny ilościowej ruchu tkanki mięśnia sercowego, gdzie różne kierunki ruchu ściany są odpowiednio oznaczone kolorem czerwonym i niebieskim. Połączenie trybów TDI i PW umożliwia lepszą wizualizację trajektorii ruchu ścian mięśnia sercowego.
Precyzyjne wykrywanie ruchu ściany lewej komory techniką globalnego śledzenia markerów akustycznych 2D zapewnia dokładne wyniki analizy ilościowej, w tym dane na temat odkształcenia, tempa odkształcenia, przemieszczenia, szybkości itp., dotyczące ścian mięśnia sercowego.
Funkcja zbierająca dane z nawet trzech linii próbkowania jednocześnie w celu umożliwienia szczegółowej oceny ruchu ścian serca. Pozwala to na znaczącą poprawę powtarzalności i dokładności pomiarów lewej komory serca.
Umożliwia pozyskiwanie wielu obrazów dynamicznych w spoczynku i w obciążeniu oraz ich porównywanie w sąsiadujących widokach. Są dostępne specjalistyczne wykresy tarczowe i raporty oceny ruchu ścian umożliwiające jeszcze skuteczniejszą ocenę żywotności mięśnia sercowego u zwierzęcia.
Funkcja ta pozwala na lepsze odróżnienie tkanki mięśnia sercowego od puli krwi, zapewniając wyższą jakość wizualizacji krawędzi wsierdzia, zwłaszcza w przypadkach stwarzających trudności techniczne przy obrazowaniu.
Funkcja Auto EF oblicza frakcję wyrzutową automatycznie w oparciu o śledzenie obrysu ściany lewej komory i metodę Simpsona, zapewniając oszczędność czasu i wysiłku.
Seria ProPet powstała w celu zagwarantowania weterynarzom wysoce profesjonalnego sprzętu sprawdzającego się we wszystkich zastosowaniach weterynaryjnych. Dzięki oprogramowaniu dedykowanemu potrzebom weterynarii obsługa aparatów jest intuicyjna, co pozwala na jak najszybsze ustalenie trafnego rozpoznania.
Jedno kliknięcie pozwala na łatwy wybór opcji z listy gatunków zwierząt, głowic oraz zestawów ustawień predefiniowanych.
Opracowany specjalnie pod kątem potrzeb gabinetów weterynaryjnych interfejs zapewnia pola danych dotyczące imienia, gatunku, rasy i statusu kastracji/sterylizacji zwierzęcia.
Praktyki weterynaryjne mogą samodzielnie skonfigurować w ustawieniach systemu gatunki zwierząt i powiązane ikony graficzne badania dla poszczególnych zastosowań weterynaryjnych.
Obsługa pełnego zakresu zastosowań, takich jak rozród, badania serca, badania układu mięśniowo-szkieletowego itp. Do dyspozycji weterynarzy są narzędzia spełniające wszelkie potrzeby, w tym opracowane na potrzeby weterynarii wzory obliczeń Uniwersytetu Cornella i wzór na BSA.
Pomiar
Raport
Ponad 200 znaczników ciała i ponad 120 adnotacji dotyczących przeszło 20 gatunków małych zwierząt, koni, zwierząt hodowlanych, zwierząt laboratoryjnych i zwierząt egzotycznych.
weterynaryjnych znaczników ciała
weterynaryjnych adnotacji
gatunków
Praca weterynarza może być trudna ze względu na dużą liczbę przypadków, z którymi musi się codziennie zmierzyć. Firma SonoScape dokłada wszelkich starań, aby weterynarze byli jak najlepiej przygotowani i mogli się skoncentrować na swojej pasjonującej pracy. Jak zawsze nieustannie dążymy do zwiększania komfortu użytkownika w pracy z naszym sprzętem.
Funkcja zapewniająca szybką i wygodną metodę transmisji obrazów ultrasonograficznych między ultrasonografem a urządzeniami typu smart.
Funkcja ta prowadzi lekarza krok po kroku przez całe badanie, zapewniając konfigurowalne protokoły skanowania, które mogą usprawnić przebieg pracy i jednocześnie zwiększyć standaryzację.
Funkcja umożliwiająca nawiązanie połączenia między ultrasonografem a znajdującym się w innej lokalizacji urządzeniem typu smart, laptopem, a nawet innym ultrasonografem, w celu przeprowadzania zdalnych konsultacji i instruktaży.
Wykorzystuje inteligentne algorytmy działające w czasie rzeczywistym, umożliwiając optymalizację obrazów w trybie 2D, trybie kolorowym i trybie Dopplera za jednym dotknięciem przycisku.
Automatyczny pomiar oparty na śledzeniu obrysu ściany lewej komory i metodzie Simpsona pozwala na oszczędność czasu i wysiłku w porównaniu z pomiarem wykonywanym ręcznie.
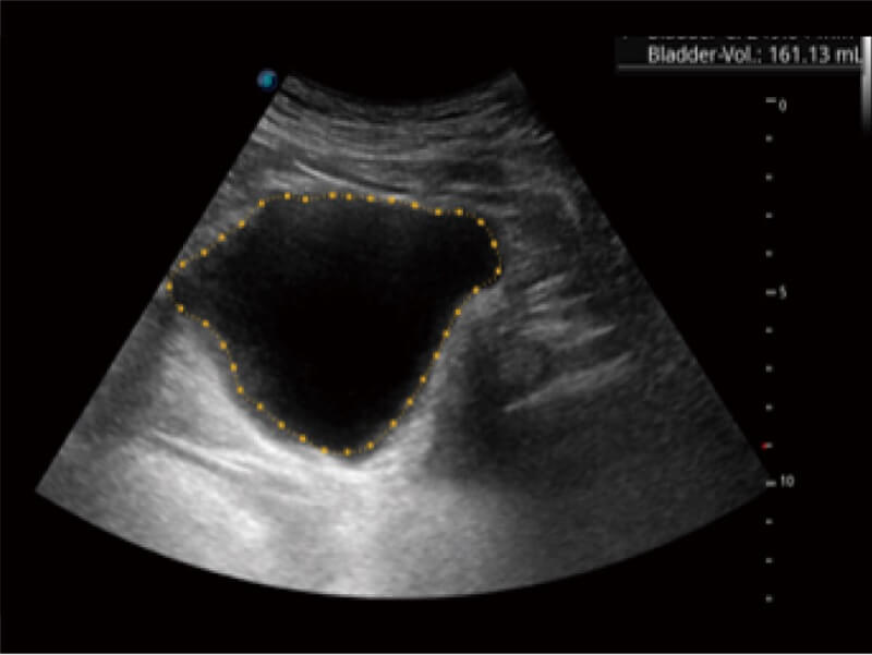
Obrys ścian pęcherza i pomiar jego objętości wykonywane przez naciśnięcie jednego przycisku gwarantują sprawne i dokładniejsze konturowanie oraz obliczanie wymiarów pęcherza, niezależnie od jego kształtu czy wielkości.
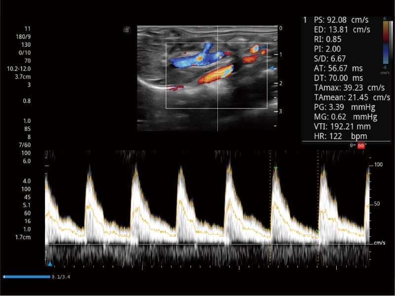
Funkcja automatycznego obrysu, która umożliwia automatyczne śledzenie widma w trybie PW/CW, pomagając lekarzom w szybkim i wygodnym wykonywaniu pomiarów.
Aparat ProPet 80 wyposażono w wyświetlacz LED Full HD o przekątnej 23,8 cala, co pozwala na uzyskanie doskonałej rozdzielczości kontrastowej, ostrości obrazów i żywych kolorów niezależnie od oświetlenia w otoczeniu
13,3-calowy ekran dotykowy z powłoką przeciwodblaskową, warstwą zapobiegającą pozostawianiu odcisków palców oraz 15-stopniową regulacją obrotu
Ochronne osłony do głowic, dzięki którym można ograniczyć czas poświęcany na czyszczenie głowic oraz wydłużyć ich żywotność
Rozwiązania w zakresie zasilania obejmują akumulator, który w przypadku awarii zasilania sieciowego umożliwia 2 godziny ciągłego skanowania na jednym naładowaniu
Możliwość podłączenia kilku głowic jednocześnie zapewnia lekarzom oszczędność czasu i wysiłku, eliminując konieczność częstej wymiany głowic
Panel sterowania z regulacją wysokości cechuje się uproszczonym układem elementów sterujących na konsoli, umożliwiając intuicyjną obsługę w ramach szerokiej gamy badań ultrasonograficznych
Dzięki szerokiemu zakresowi ruchu w pełni obrotowy wysięgnik monitora pozwala na dostosowanie ustawienia do aktualnych potrzeb
W systemie ProPet 80 połączono inteligentne oprogramowanie oraz głowice w technologii monokrystalicznej „Single Crystal”, umożliwiając pozyskiwanie obrazów o nadzwyczajnej jakości, uwidoczniających nawet najmniejsze patologie u różnych gatunków zwierząt, od dużych ras psów po małe egzotyczne zwierzęta. Dzięki temu można uzyskać znacząco lepsze rezultaty kliniczne.






