Intelligenza articolata

P60

Il P60, configurato con l'importante e recente piattaforma SonoScape Wis+, è progettato per fornire prove più dettagliate e costruttive per la diagnosi, attraverso un'autentica visualizzazione dei dettagli, un'analisi intelligente semplice ma efficace e un flusso di lavoro semplificato.

Wis+

Una piattaforma ecografica basata sull'intelligenza artificiale

  • Intelligente

  • Accurata

  • Efficiente

Intelligenza artificiale*

Offre un miglioramento senza precedenti in termini di efficienza e precisione

L'adozione dell'intelligenza artificiale su P60 non solo semplifica notevolmente il flusso di lavoro, ma offre anche una maggiore riproducibilità e coerenza nelle misurazione.

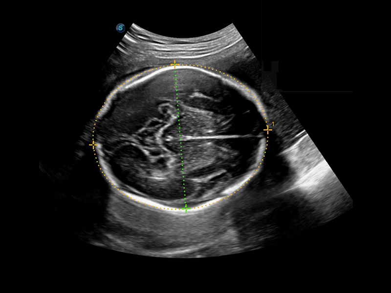
1 OFD(HC): 87,03 mm
HC: 251,00 mm
GA: 27w 1d
HC/AC: 96,13%

2 BPD: 70,56 mm
GA: 28 w 2d

S-Fetus(acq.)
& S-Fetus(meas.)

S-Fetus*

S-Fetus è uno strumento di facile utilizzo che consente il rilevamento completamente automatico e preciso dei piani più significativi e delle misurazioni della biometria fetale, utilizzate frequentemente. Con la modalità cine-loop della testa del feto, S-Fetus è in grado di estrarre i piani standard e visualizzare i risultati della misurazione in un secondo, riducendo notevolmente Il numero di battute e i tempi di lavoro necessari. È progettato per trasformare gli esami ecografici ostetrici in un'esperienza molto più comoda, veloce e piacevole.

  • Tumore_H: 4,58 mm
  • Tumore_W: 3,71 mm
  • Tumore_Area: 0,13 mm2
  • Forma

    Più alto che largo 3
  • Margine

    Lobulato o irregolare 2
  • Ecogenicità

    Ipoecoico 2
  • Focus ecogeni

    Nessuno o grandi artefatti di coda 0
  • Composizione

    Solida o quasi del tutto solida 2
Punti totali: 9
Consiglio: >=1,0 cm Follow
>=1,5 cm FNA
S-Thyroid

S-Thyroid*

S-Thyroid è uno strumento avanzato per il rilevamento e la classificazione delle lesioni sospette della tiroide, in conformità con le linee guida ACR TI-RADS (American College of Radiology Thyroid Imaging Reporting and Data System). Dopo aver selezionato la regione di interesse, S-Thyroid può definire automaticamente i limiti della lesione e generare un referto con le caratteristiche della lesione sospetta.

* A causa di motivi normativi, non è possibile garantire la disponibilità futura.

CEUS

Sfrutta il pieno potenziale dell'imaging a micro flusso

Il pacchetto completo di imaging ecografico e quantificazione con mezzo di contrasto di P60 offre ai medici una soluzione completa per valutare le dinamiche di perfusione in un'ampia gamma di ambiti clinici.

  • Nodulo tiroideo maligno con CEUS

  • Colestasi ostruttiva con MFI

  • HCC con modalità mista

  • HCC con MFI-Time

  • CEUS con curva TIC

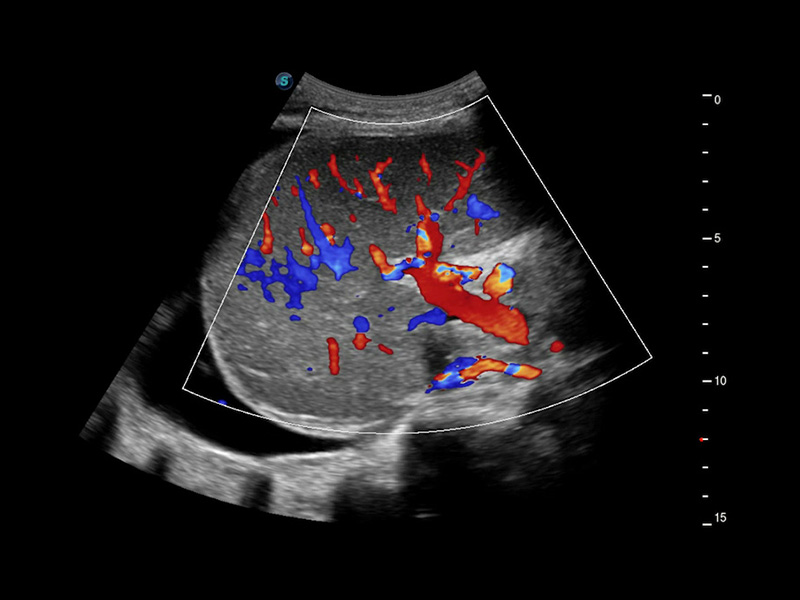
Micro F

Consente la visualizzazione delle strutture microvascolarizzate

Micro F offre un metodo innovativo per ampliare la portata di flusso visibile nell'ecografia, in particolare per visualizzare l'emodinamica dei piccoli vasi a flusso lento. Grazie all'adozione di un filtro adattivo avanzato e all'accumulo di segnali temporali e spaziali, Micro F è in grado di distinguere in modo efficace il flusso minuto dal movimento di tessuto sovrapposto e di rappresentare l'emodinamica con sensibilità e risoluzione spaziale più elevate.

  • Arteria pericallosa fetale con Micro F

  • Flusso ematico renale con Micro F

  • Nodulo tiroideo con Micro F

  • Linfonodo cervicale con Micro F

  • Flusso ematico renale con Micro F

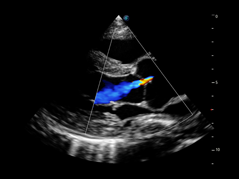
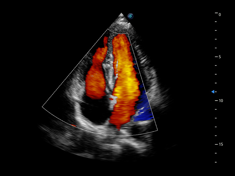
Cardiovascolare avanzato

Si impegna a fornire una soluzione completa per la valutazione cardiaca

Dotato dell'esclusivo trasduttore a cristallo singolo SonoScape e di una tecnologia di elaborazione all'avanguardia, P60 si impegna a ripristinare ogni dettaglio ed elemento per una diagnosi precisa. La nuova analisi quantitativa del miocardio (MQA) fornisce un referto quantitativo approfondito sulle dinamiche del movimento della parete miocardica globale e regionale del ventricolo sinistro, offrendo ai medici una valutazione completa delle funzioni miocardiche.

  • Stress Echo

  • MQA con analisi della deformazione

  • TDI (Tissue Doppler Imaging)

  • Opacizzazione VS

  • Auto EF

Trasduttori estesi

Gamma di applicazioni più ampia

La scelta completa di trasduttori lineari, convessi, ad array fasato, endocavitari, volumetrici e specialistici soddisfa tutti gli aspetti degli esami ecografici, rispondendo esattamente alle esigenze dei medici in materia di imaging generale. Ogni trasduttore è appositamente progettato per offrire un'eccellente qualità delle immagini su P60. La cura artigianale e il materiale acustico aggiornati utilizzati nei trasduttori hanno lo scopo di creare un'esperienza di imaging autentica e brillante, consentendo la massima semplicità e affidabilità in qualsiasi caso di routine o in pazienti tecnicamente difficili.

Design ottimizzato

Ispira ogni scansione ergonomica

Il design di P60 si concentra sulla semplicità e sulla compattezza, senza comprometterne le potenti prestazioni. Il pannello girevole laterale e regolabile in altezza e un braccio per monitor articolato possono soddisfare qualsiasi requisito in diverse condizioni di scansione.

  • 1
  • 2
  • 3
  • 4
  • 5
  • Monitor LED da 21,5"

    P60 è dotato di un monitor LED ad alta definizione da 21,5" di grandi dimensioni, che offre agli utenti un'eccellente visualizzazione delle immagini.

  • Touchscreen inclinabile da 13,3"

    Il touchscreen da 13,3" consente agli utenti di esplorare e selezionare le funzioni con facilità. Un design inclinabile consente la regolazione in base alle esigenze degli utenti.

  • Layout intuitivo

    L'esclusivo design della console consente un facile accesso a tutti i tipi di operazioni comuni. I tasti di scelta rapida e personalizzabili consentono agli utenti di adattare il flusso di lavoro alle proprie esigenze.

  • Riscaldatore per gel

    Per garantire al paziente un'esperienza confortevole, è disponibile un riscaldatore per gel da installare sul lato del pannello di controllo.

  • Batteria integrata

    La batteria integrata supporta il funzionamento di P60 per 2 ore senza alimentazione, senza preoccuparsi di interruzioni accidentali e perdita di dati dovuta a interruzioni dell'alimentazione.

Galleria immagini

* La tecnologia e le funzioni dipendono dal sistema/configurazione. SonoScape Medical si riserva il diritto di modificare le informazioni sopra riportate e di interrompere la produzione di qualsiasi prodotto in qualsiasi momento senza preavviso e non sarà responsabile per eventuali conseguenze derivanti dall'uso di questa pubblicazione.