P25 Elite

Excelente rendimiento constante

El sistema de ecografía P25 Elite mejora la comodidad, la fiabilidad y el rendimiento de imagen para una experiencia de diagnóstico fluida y fácil de usar. Especializado en diagnóstico abdominal, obstétrico, ginecológico, cardiológico, mamario y musculoesquelético, el P25 Elite también está disponible para un triaje inmediato o un examen completo.

Claridad de imagen excepcional a través de la innovación

  • Tecnologías avanzadas de transductores

    Los transductores de cristal único mejoran en gran medida la relación de señal, adquieren imágenes impresionantes y proporcionan una sensibilidad y resolución superiores para los campos cercanos y lejanos, aumentando la uniformidad de la alineación de cristal y aumentando la eficiencia de transmisión de energía. de cristal único C1-5 para aplicaciones abdominales y obstétricas, y S1-5 para aplicaciones cardiológicas y transcraneales. Los transductores lineales de cristal compuesto, mediante la reforma de los materiales piezoeléctricos convencionales, consiguen un mejor espectro acústico y una menor impedancia acústica para servir bien en las áreas vascular, mamaria, tiroidea, musculoesquelética, etc. La combinación de 12L-A, 12L-B, 9L-A cubre un ancho de banda de frecuencias ultraamplio, sin dejar prácticamente ningún punto ciego para todo tipo de escaneos.

  • μ-Scan+

    La tecnología de imagen μ-Scan de nueva generación le ofrece una mejor calidad de imagen reduciendo el ruido, realzando la uniformidad de la imagen y mejorando la continuidad de los límites para obtener detalles reales y una visualización mejorada.

  • SR Flow

    Como nueva tecnología innovadora, SR Flow mejora la capacidad de detectar señales de flujo de baja velocidad. También mejora la resolución espacial y sortea el sobreflujo para presentar a los usuarios información hemodinámica real.

Más aplicaciones con mayor precisión

Las ecografías son ampliamente utilizadas y llevan a cabo un número creciente de tareas clínicas. Pionero en ayudar a los médicos a realizarlas más fácilmente, el P25 Elite integra un conjunto completo de características potenciales que cubren evaluaciones avanzadas abdominales, cardiovasculares, de pequeñas partes, obstétricas/ginecológicas y más.

  • Mama

  • Abdomen

  • Cardíaco

  • Obstetricia

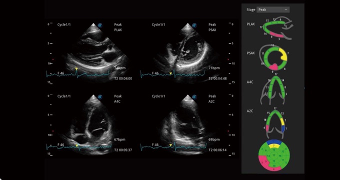
  • Stress Echo

    Una plantilla sencilla para que los médicos tomen múltiples imágenes dinámicas en reposo y después del estrés y realicen una comparación paralela. Se proporcionan calificaciones y reportes profesionales y precisos del movimiento de pared para una evaluación más efectiva de la viabilidad del músculo cardíaco.

  • Análisis Cuantitativo del Miocardio (MQA)

    La medición cuantitativa precisa de la mecánica del miocardio se logra mediante un MQA basado en el monitoreo sensible del movimiento de la pared en tiempo real. Proporciona una evaluación global y regional que incluye deformación, tasa de deformación, desplazamiento, velocidad, etc.

  • Auto IMT

    Auto IMT es una herramienta inteligente para analizar el riesgo potencial de enfermedad cardiovascular en un paciente. Al hacer clic en un botón, puede medir tanto el grosor de la íntima-media anterior como posterior de la carótida común. Este sencillo procedimiento mejora la productividad del examen, además de agregar valor de diagnóstico al examen.

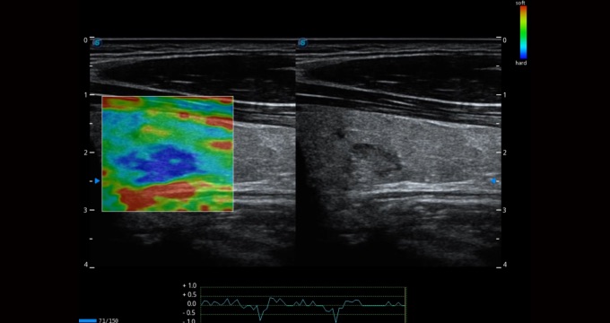
  • Imágenes C-xlasto

    Las imágenes C-xlasto permiten un análisis elástico cuantitativo completo, y el sistema calculará rápidamente la tasa de deformación y mostrará anomalías inusualmente duras o blandas dentro del tejido blando. Además, se apoya en múltiples sondas para garantizar una buena replicabilidad y resultados elásticos cuantitativos altamente constantes.

  • Imágenes de contraste

    Los agentes de contraste proporcionan una fuerte reflexión de la señal, dando una imagen mejorada del flujo sanguíneo difícil de ver. Controla la presión acústica y proporciona una calidad de imagen prometedora con una dosis de agente más pequeña.

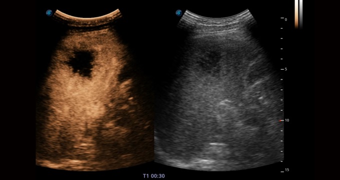
  • S-Live Silhouette

    A través de la aplicación de una fuente de luz virtual y un efecto de sombra, S-Live Silhouette ve a través de la superficie y delinea claramente los contornos de huesos, órganos, cavidades, paredes de los vasos y otras estructuras internas. Es una herramienta beneficiosa para identificar anatomía normal y diagnosticar malformaciones congénitas complejas.

Conveniencia diseñada para usted

  • El P25 Elite cuenta con una pantalla LED de 23,8 pulgadas como opcional, que ofrece una excelente resolución de contraste, claridad de imagen para una mejor visualización y más información de diagnóstico.

  • La pantalla táctil de alta sensibilidad se ajusta para adaptarse a las preferencias de visualización del usuario en cualquier entorno de escaneo.

  • El diseño compacto con 5 tomas activas proporciona una amplia gama de aplicaciones clínicas con facilidad.

  • Se puede elegir entre dos capacidades de batería integrada, para mayor comodidad durante el transporte y para satisfacer las necesidades de escaneo continuo.

  • El calentador de gel ajustable de nivel mantiene el gel de ecografía a una temperatura cómoda.

Galería de imágenes

A4C con TDI

Micro F+Bright Flow

Renderizado de rostro fetal con S-Live

Arteria carótida

Ovarios bilaterales

Adhesión intrauterina

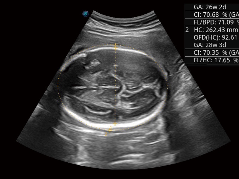
Auto OB Plus BPD y HC

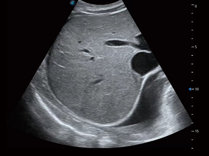
Líquido ascítico